栃木県宇都宮市でマウスピース矯正に対応できる矯正歯科

〒320-0804 栃木県宇都宮市二荒町1-14

診療時間
10時~12時、14時~18時
※予約制となっております
休診日

休診日はこちらをご覧ください

※当院から、新型コロナウイルス感染防止についてのご案内です。
 
こちら をご覧ください。

お気軽にお問合せください

028-634-2535

治療例

 こちらでご紹介する症例はすべて当院で治療を受けられた患者様です。ひとりひとりお口の中が違いますが、ご参考頂ければ、幸いです。

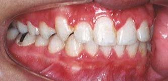
治療例1:上顎前突(出っ歯)

 原因はいろいろとありますが、一般的には上顎の過成長および下顎の劣成長、またはその両方と言われています。症例により、骨格的には問題がなくても、上顎前歯に押されて下顎が後方位をとっている場合もあります。その場合、接触を早期に除去して下顎を前方に誘導することが可能なケースがあります。

治療前

※ 上顎前歯が15ミリほど下顎より出ていました。歯の凸凹もあり、それに伴って上の唇も出ていました。

治療後

※ 歯列を拡大し、下顎が成長を伴って、前下方へ移動しました。抜歯をすること無く、顔貌・歯列ともにきれいになりました。

①主訴:でこぼこと出ている歯を治したい。

②診断名:叢生を伴う上顎前突。

③年齢:14歳

④装置:マルチブラケット、ヘッドギア

⑤抜歯部位:なし

⑥治療期間:1年6か月

⑦治療費:84万円(セラミックブラケット使用、総額)

⑧リスク、副作用:下記参照

 

矯正歯科治療に伴う一般的なリスクや副作用

① 最初は矯正装置による不快感、痛み等があります。数日間~1週間程度で慣れることが多いです。

対策としては

  1. 最初のワイヤーは細い線を用いる。
  2. ワイヤーの材質を温度センサー付きのワイヤーとして、実際に水でゆすぐと痛みが軽減する。
  3. アセトアミノフェンを主成分とする鎮痛剤を処方します。

② 歯の動き方には個人差があります。そのため、予想された治療期間が延長する可能性があります。

③ 装置の使用状況、顎間ゴムの使用状況、定期的な通院等、矯正治療には患者さんの協力が非常に重要であり、それらが治療結果や治療期間に影響します。

 治療中は、装置が付いているため歯が磨きにくくなります。
 むし歯や歯周病のリスクが高まりますので、丁寧に磨いたり、定期的なメンテナンス
を受けたりすることが重要です。また、歯が動くと隠れていたむし歯が見えるように
なることもあります。

対策としては

ご来院時、歯のクリーニングと共にブラッシング指導をします。

⑤ 歯を動かすことにより歯根が吸収して短くなることがあります。また、歯ぐきがやせて下がることがあります。

⑥ ごくまれに歯が骨と癒着していて歯が動かないことがあります。

⑦ ごくまれに歯を動かすことで神経が障害を受けて壊死することがあります。

⑧ 治療途中に金属等のアレルギー症状が出ることがあります。

⑨ 治療中に「顎関節で音が鳴る、あごが痛い、口が開けにくい」などの顎関節症状が出ることがあります。

⑩ 様々な問題により、当初予定した治療計画を変更する可能性があります。

⑪ 歯の形を修正したり、咬み合わせの微調整を行ったりする可能性があります。

⑫ 矯正装置を誤飲する可能性があります。

⑬ 装置を外す時に、エナメル質に微小な亀裂が入る可能性や、かぶせ物(補綴物)の一部が破損する可能性があります。

⑭ 装置が外れた後、保定装置を指示通り使用しないと後戻りが生じる可能性が高くなります。

⑮ 装置が外れた後、現在の咬み合わせに合った状態のかぶせ物(補綴物)やむし歯の治療(修復物などをやりなおす可能性があります。

⑯ あごの成長発育によりかみ合わせや歯並びが変化する可能性があります。

⑰ 治療後に親知らずが生えて、凸凹が生じる可能性があります。加齢や歯周病等により歯を支えている骨がやせるとかみ合わせや歯並びが変化することがあります。その場合、再治療等が必要になることがあります。

⑱ 矯正歯科治療は、一度始めると元の状態に戻すことは難しくなります。

治療例2:叢生(でこぼこ)

 いわゆる乱ぐい歯、凸凹の歯を叢生(そうせい)と呼んでいます。歯の大きさに対して受け皿である歯槽部の大きさが足りません。乳歯の早期喪失、舌癖(歯列に舌を押しつけて飲む癖など)等により歯列が広がらなかったためです。
 治療には、歯列を広げて凸凹をとる場合と、抜歯により空隙を作る方法があります。下の例では、ヘッドギアを用いて奥歯を移動し、また歯列幅を広げることで抜歯をしないで治療しています。

     治療前

※ あご(歯槽)が小さく、歯が並びきれていません。犬歯がはみ出しています(いわゆる八重歯)。

     治療後

※ ヘッドギアで奥歯を移動し、また歯列を広げながら、かみ合わせを高くしています。抜歯をせずに凸凹がきれいになりました。

①主訴:歯のでこぼこを治したい。

②診断名:低位犬歯を伴う叢生

③年齢:16歳

④装置:マルチブラケット、ヘッドギア

⑤抜歯部位:なし

⑥治療期間:1年8か月

⑦治療費:79万円(メタルブラケット使用、総額)

⑧リスク、副作用:下記参照

矯正歯科治療に伴う一般的なリスクや副作用

① 最初は矯正装置による不快感、痛み等があります。数日間~1週間程度で慣れることが多いです。

対策としては

  1. 最初のワイヤーは細い線を用いる。
  2. ワイヤーの材質を温度センサー付きのワイヤーとして、実際に水でゆすぐと痛みが軽減する。
  3. アセトアミノフェンを主成分とする鎮痛剤を処方します。

② 歯の動き方には個人差があります。そのため、予想された治療期間が延長する可能性があります。

③ 装置の使用状況、顎間ゴムの使用状況、定期的な通院等、矯正治療には患者さんの協力が非常に重要であり、それらが治療結果や治療期間に影響します。

 治療中は、装置が付いているため歯が磨きにくくなります。
 むし歯や歯周病のリスクが高まりますので、丁寧に磨いたり、定期的なメンテナンス
を受けたりすることが重要です。また、歯が動くと隠れていたむし歯が見えるように
なることもあります。

対策としては

ご来院時、歯のクリーニングと共にブラッシング指導をします。

⑤ 歯を動かすことにより歯根が吸収して短くなることがあります。また、歯ぐきがやせて下がることがあります。

⑥ ごくまれに歯が骨と癒着していて歯が動かないことがあります。

⑦ ごくまれに歯を動かすことで神経が障害を受けて壊死することがあります。

⑧ 治療途中に金属等のアレルギー症状が出ることがあります。

⑨ 治療中に「顎関節で音が鳴る、あごが痛い、口が開けにくい」などの顎関節症状が出ることがあります。

⑩ 様々な問題により、当初予定した治療計画を変更する可能性があります。

⑪ 歯の形を修正したり、咬み合わせの微調整を行ったりする可能性があります。

⑫ 矯正装置を誤飲する可能性があります。

⑬ 装置を外す時に、エナメル質に微小な亀裂が入る可能性や、かぶせ物(補綴物)の一部が破損する可能性があります。

⑭ 装置が外れた後、保定装置を指示通り使用しないと後戻りが生じる可能性が高くなります。

⑮ 装置が外れた後、現在の咬み合わせに合った状態のかぶせ物(補綴物)やむし歯の治療(修復物などをやりなおす可能性があります。

⑯ あごの成長発育によりかみ合わせや歯並びが変化する可能性があります。

⑰ 治療後に親知らずが生えて、凸凹が生じる可能性があります。加齢や歯周病等により歯を支えている骨がやせるとかみ合わせや歯並びが変化することがあります。その場合、再治療等が必要になることがあります。

⑱ 矯正歯科治療は、一度始めると元の状態に戻すことは難しくなります。

治療例3:反対咬合(うけ口)

 一般的に反対咬合の場合、下顎の過成長および上顎の劣成長またはそれら両方と言われています。そのため成長期においては、下顎の成長を抑制(チンキャップ)、上顎の成長を促進(プロトラクター)などの顎外装置を用いることがあります。
 それ以外にも、たとえば舌癖により下顎前歯が前方に押されて、反対咬合になっているケースもしばしば見受けられます。
 成人矯正では顎変形症(反対咬合も含めて)治療のための外科矯正も選択の一つとなります。

     治療前

※ 上顎の前歯も奥歯も下顎の中に入っています。上下顎の成長のバランスが良くありません。

     治療後

※ 上顎の歯列を拡大し、下顎を後方移動しました。舌癖(歯列に舌を押しつけて飲む癖)の練習も行いました。

①主訴:受け口を治したい。

②診断名:下顎前突。

③年齢:10歳

④装置:マルチブラケット、パラタルアーチ(TPA・テンフープ)

⑤抜歯部位:なし

⑥治療期間:1年9か月

⑦治療費:79万円(メタルブラケット使用、総額)

⑧リスク、副作用:下記参照

矯正歯科治療に伴う一般的なリスクや副作用

① 最初は矯正装置による不快感、痛み等があります。数日間~1週間程度で慣れることが多いです。

対策としては

  1. 最初のワイヤーは細い線を用いる。
  2. ワイヤーの材質を温度センサー付きのワイヤーとして、実際に水でゆすぐと痛みが軽減する。
  3. アセトアミノフェンを主成分とする鎮痛剤を処方します。

② 歯の動き方には個人差があります。そのため、予想された治療期間が延長する可能性があります。

③ 装置の使用状況、顎間ゴムの使用状況、定期的な通院等、矯正治療には患者さんの協力が非常に重要であり、それらが治療結果や治療期間に影響します。

 治療中は、装置が付いているため歯が磨きにくくなります。
 むし歯や歯周病のリスクが高まりますので、丁寧に磨いたり、定期的なメンテナンス
を受けたりすることが重要です。また、歯が動くと隠れていたむし歯が見えるように
なることもあります。

対策としては

ご来院時、歯のクリーニングと共にブラッシング指導をします。

⑤ 歯を動かすことにより歯根が吸収して短くなることがあります。また、歯ぐきがやせて下がることがあります。

⑥ ごくまれに歯が骨と癒着していて歯が動かないことがあります。

⑦ ごくまれに歯を動かすことで神経が障害を受けて壊死することがあります。

⑧ 治療途中に金属等のアレルギー症状が出ることがあります。

⑨ 治療中に「顎関節で音が鳴る、あごが痛い、口が開けにくい」などの顎関節症状が出ることがあります。

⑩ 様々な問題により、当初予定した治療計画を変更する可能性があります。

⑪ 歯の形を修正したり、咬み合わせの微調整を行ったりする可能性があります。

⑫ 矯正装置を誤飲する可能性があります。

⑬ 装置を外す時に、エナメル質に微小な亀裂が入る可能性や、かぶせ物(補綴物)の一部が破損する可能性があります。

⑭ 装置が外れた後、保定装置を指示通り使用しないと後戻りが生じる可能性が高くなります。

⑮ 装置が外れた後、現在の咬み合わせに合った状態のかぶせ物(補綴物)やむし歯の治療(修復物などをやりなおす可能性があります。

⑯ あごの成長発育によりかみ合わせや歯並びが変化する可能性があります。

⑰ 治療後に親知らずが生えて、凸凹が生じる可能性があります。加齢や歯周病等により歯を支えている骨がやせるとかみ合わせや歯並びが変化することがあります。その場合、再治療等が必要になることがあります。

⑱ 矯正歯科治療は、一度始めると元の状態に戻すことは難しくなります。

治療例4:開咬(かみ合わない)

 

 上下顎の歯は接触することで、かみ切るなどの機能をしますが、何らかの原因でかみ合わない場合、開咬と呼ばれる不正咬合になります。その原因としては、指しゃぶり、爪かみ、舌癖などの癖のほかに、骨格的な問題が存在する場合があります。指しゃぶりなどの場合は原因を除くことと、筋機能療法(トレーニング)を併用して治療を行います。骨格的な場合は診断に基づき治療を行います。

     治療前

※ 上下の前歯がかみ合っていません。開いている隙間に舌が入り込み、それによって飲み込む癖があるようです。

     治療後

※ 歯列の凸凹をとりながら、上下の歯列がかみ合うように移動しました。筋機能療法(トレーニング)を併用しています。

①主訴:でこぼこと前歯がかみ合うようにしたい。

②診断名:叢生を伴う開咬。

③年齢:21歳

④装置:マルチブラケット、ヘッドギア

⑤抜歯部位:なし

⑥治療期間:1年5か月

⑦治療費:84万円(セラミックブラケット使用、総額)

⑧リスク、副作用:下記参照

矯正歯科治療に伴う一般的なリスクや副作用

① 最初は矯正装置による不快感、痛み等があります。数日間~1週間程度で慣れることが多いです。

対策としては

  1. 最初のワイヤーは細い線を用いる。
  2. ワイヤーの材質を温度センサー付きのワイヤーとして、実際に水でゆすぐと痛みが軽減する。
  3. アセトアミノフェンを主成分とする鎮痛剤を処方します。

② 歯の動き方には個人差があります。そのため、予想された治療期間が延長する可能性があります。

③ 装置の使用状況、顎間ゴムの使用状況、定期的な通院等、矯正治療には患者さんの協力が非常に重要であり、それらが治療結果や治療期間に影響します。

 治療中は、装置が付いているため歯が磨きにくくなります。
 むし歯や歯周病のリスクが高まりますので、丁寧に磨いたり、定期的なメンテナンス
を受けたりすることが重要です。また、歯が動くと隠れていたむし歯が見えるように
なることもあります。

対策としては

ご来院時、歯のクリーニングと共にブラッシング指導をします。

⑤ 歯を動かすことにより歯根が吸収して短くなることがあります。また、歯ぐきがやせて下がることがあります。

⑥ ごくまれに歯が骨と癒着していて歯が動かないことがあります。

⑦ ごくまれに歯を動かすことで神経が障害を受けて壊死することがあります。

⑧ 治療途中に金属等のアレルギー症状が出ることがあります。

⑨ 治療中に「顎関節で音が鳴る、あごが痛い、口が開けにくい」などの顎関節症状が出ることがあります。

⑩ 様々な問題により、当初予定した治療計画を変更する可能性があります。

⑪ 歯の形を修正したり、咬み合わせの微調整を行ったりする可能性があります。

⑫ 矯正装置を誤飲する可能性があります。

⑬ 装置を外す時に、エナメル質に微小な亀裂が入る可能性や、かぶせ物(補綴物)の一部が破損する可能性があります。

⑭ 装置が外れた後、保定装置を指示通り使用しないと後戻りが生じる可能性が高くなります。

⑮ 装置が外れた後、現在の咬み合わせに合った状態のかぶせ物(補綴物)やむし歯の治療(修復物などをやりなおす可能性があります。

⑯ あごの成長発育によりかみ合わせや歯並びが変化する可能性があります。

⑰ 治療後に親知らずが生えて、凸凹が生じる可能性があります。加齢や歯周病等により歯を支えている骨がやせるとかみ合わせや歯並びが変化することがあります。その場合、再治療等が必要になることがあります。

⑱ 矯正歯科治療は、一度始めると元の状態に戻すことは難しくなります。

治療例5:埋伏歯

 何らかの原因で歯が正常に萌出せず、様々な向きで歯槽骨内にとどまっている状態です。牽引で口腔内に誘導しますが、困難な場合もあります。

     治療前

※ 上の前歯が歯槽骨内に留まり、萌出できない状態です。レントゲンで位置関係を検査し、牽引できると診断しました。

     治療後

※ 歯の出るすきまを確保した後で弱い力で牽引しました。きれいに前歯部のラインが整っています。

①主訴:でこぼこの歯を治したい。(紹介医より埋伏歯の存在あり)

②診断名:埋伏歯を伴う叢生

③年齢:13歳

④装置:マルチブラケット、ヘッドギア、リンガルアーチ

⑤抜歯部位:なし

⑥治療期間:2年3か月

⑦治療費:79万円(メタルブラケット使用、総額)

⑧リスク、副作用:下記参照

矯正歯科治療に伴う一般的なリスクや副作用

① 最初は矯正装置による不快感、痛み等があります。数日間~1週間程度で慣れることが多いです。

対策としては

  1. 最初のワイヤーは細い線を用いる。
  2. ワイヤーの材質を温度センサー付きのワイヤーとして、実際に水でゆすぐと痛みが軽減する。
  3. アセトアミノフェンを主成分とする鎮痛剤を処方します。

② 歯の動き方には個人差があります。そのため、予想された治療期間が延長する可能性があります。

③ 装置の使用状況、顎間ゴムの使用状況、定期的な通院等、矯正治療には患者さんの協力が非常に重要であり、それらが治療結果や治療期間に影響します。

 治療中は、装置が付いているため歯が磨きにくくなります。
 むし歯や歯周病のリスクが高まりますので、丁寧に磨いたり、定期的なメンテナンス
を受けたりすることが重要です。また、歯が動くと隠れていたむし歯が見えるように
なることもあります。

対策としては

ご来院時、歯のクリーニングと共にブラッシング指導をします。

⑤ 歯を動かすことにより歯根が吸収して短くなることがあります。また、歯ぐきがやせて下がることがあります。

⑥ ごくまれに歯が骨と癒着していて歯が動かないことがあります。

⑦ ごくまれに歯を動かすことで神経が障害を受けて壊死することがあります。

⑧ 治療途中に金属等のアレルギー症状が出ることがあります。

⑨ 治療中に「顎関節で音が鳴る、あごが痛い、口が開けにくい」などの顎関節症状が出ることがあります。

⑩ 様々な問題により、当初予定した治療計画を変更する可能性があります。

⑪ 歯の形を修正したり、咬み合わせの微調整を行ったりする可能性があります。

⑫ 矯正装置を誤飲する可能性があります。

⑬ 装置を外す時に、エナメル質に微小な亀裂が入る可能性や、かぶせ物(補綴物)の一部が破損する可能性があります。

⑭ 装置が外れた後、保定装置を指示通り使用しないと後戻りが生じる可能性が高くなります。

⑮ 装置が外れた後、現在の咬み合わせに合った状態のかぶせ物(補綴物)やむし歯の治療(修復物などをやりなおす可能性があります。

⑯ あごの成長発育によりかみ合わせや歯並びが変化する可能性があります。

⑰ 治療後に親知らずが生えて、凸凹が生じる可能性があります。加齢や歯周病等により歯を支えている骨がやせるとかみ合わせや歯並びが変化することがあります。その場合、再治療等が必要になることがあります。

⑱ 矯正歯科治療は、一度始めると元の状態に戻すことは難しくなります。

お問合せはお気軽に

028-634-2535

メールでのお問合せは24時間受け付けております。お気軽にご連絡ください。