栃木県宇都宮市でマウスピース矯正に対応できる矯正歯科

〒320-0804 栃木県宇都宮市二荒町1-14

診療時間
10時~12時、14時~18時
※予約制となっております
休診日

休診日はこちらをご覧ください

※当院から、新型コロナウイルス感染防止についてのご案内です。
 
こちら をご覧ください。

お気軽にお問合せください

028-634-2535

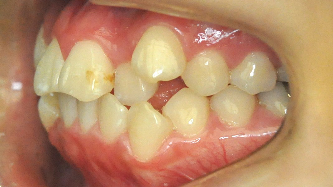
八重歯・叢生の症例紹介

栃木県・宇都宮市近くの「坪山矯正歯科医院」が八重歯・叢生の症例をご紹介します。

八重歯・叢生の症例

Before

宇都宮市・宇都宮駅の八重歯・叢生の症例紹介

After

宇都宮市・宇都宮駅の八重歯・叢生の症例紹介

A・S 様 女性 10代

主訴: 出っ歯と凸凹を治したい
治療の経緯: ネットで予約
治療の内容: 抜歯により空隙を作り、前歯を後ろに移動しながら凸凹を治しました。
治療の期間・回数: 1年6か月、18回
治療の価格: 80万円(総額)
治療のリスクや副作用:歯とあごのバランスによってはご自身の歯を抜く場合があります。まれに歯の根が短くなる可能性があります。装置装着後、痛みを感じることがあります(歯が動く正常な反応なので心配ありません)。頬の粘膜・唇・舌などに、口内炎ができることがあります。歯周病等で歯茎が下がっている方は、歯を動かすことでさらに歯茎が下がる可能性があります。重なっていた歯がきれいに並んだことで歯茎と両隣の歯との間に三角形の隙間ができる可能性があります。

八重歯・叢生の症例

Before

宇都宮市・宇都宮駅の八重歯・叢生の症例紹介

After

宇都宮市・宇都宮駅の八重歯・叢生の症例紹介

K・S 様 女性 10代

主訴: かみ合わせを良くしたい
治療の経緯: 患者様の紹介
治療の内容: 抜歯により、歯を後方に移動しました。
治療の期間・回数: 1年8か月、20回
治療の価格: 80万円(総額)
治療のリスクや副作用:歯とあごのバランスによってはご自身の歯を抜く場合があります。まれに歯の根が短くなる可能性があります。装置装着後、痛みを感じることがあります(歯が動く正常な反応なので心配ありません)。頬の粘膜・唇・舌などに、口内炎ができることがあります。歯周病等で歯茎が下がっている方は、歯を動かすことでさらに歯茎が下がる可能性があります。重なっていた歯がきれいに並んだことで歯茎と両隣の歯との間に三角形の隙間ができる可能性があります。

八重歯・叢生の症例

Before

宇都宮市・宇都宮駅の八重歯・叢生の症例紹介

After

宇都宮市・宇都宮駅の八重歯・叢生の症例紹介

H・M 様 女性 30代

主訴: 出っ歯を治したい
治療の経緯: 患者様の兄弟
治療の内容: 抜歯により空隙を作り、ヘッドギアで後方移動しました。
治療の期間・回数: 2年0か月、24回
治療の価格: 80万円(総額)
治療のリスクや副作用:歯とあごのバランスによってはご自身の歯を抜く場合があります。まれに歯の根が短くなる可能性があります。装置装着後、痛みを感じることがあります(歯が動く正常な反応なので心配ありません)。頬の粘膜・唇・舌などに、口内炎ができることがあります。歯周病等で歯茎が下がっている方は、歯を動かすことでさらに歯茎が下がる可能性があります。重なっていた歯がきれいに並んだことで歯茎と両隣の歯との間に三角形の隙間ができる可能性があります。

八重歯・叢生の症例

Before

宇都宮市・宇都宮駅の八重歯・叢生の症例紹介

After

宇都宮市・宇都宮駅の八重歯・叢生の症例紹介

S・A 様 女性 10代

主訴: かみ合わせを良くしたい
治療の経緯: 患者様の紹介
治療の内容: 抜歯およびヘッドギアにより、歯を後方に移動しました。
治療の期間・回数: 1年8か月、20回
治療の価格: 80万円(総額)
治療のリスクや副作用:歯とあごのバランスによってはご自身の歯を抜く場合があります。まれに歯の根が短くなる可能性があります。装置装着後、痛みを感じることがあります(歯が動く正常な反応なので心配ありません)。頬の粘膜・唇・舌などに、口内炎ができることがあります。歯周病等で歯茎が下がっている方は、歯を動かすことでさらに歯茎が下がる可能性があります。重なっていた歯がきれいに並んだことで歯茎と両隣の歯との間に三角形の隙間ができる可能性があります。

八重歯・叢生の治療ができる矯正歯科をお探しなら、栃木県・宇都宮市の「坪山矯正歯科医院」へ。一人ひとりの歯ならびに合わせた矯正プランをご提案します。治療の期間や値段に関してのご相談も、お気軽にお問合せください。

栃木県 宇都宮市の坪山矯正歯科医院

坪山矯正歯科医院 院長 坪山 幸永

資格
  • 日本矯正歯科学会 認定医
  • 日本成人矯正歯科学会 認定医・総合指導医

お問合せはお気軽に

028-634-2535

メールでのお問合せは24時間受け付けております。お気軽にご連絡ください。